作者: 上海临床检验中心 临床细胞分子遗传学研究室 分子病理研究室 主治医生
肺癌患者在等待病理报告期间,经常会被告知还有基因检测的报告需要一起给医生看。那么,什么是基因检测?是不是一定要做基因检测?具体又检测哪些基因呢?
在肺癌发生发展过程中,有一类与之息息相关的重要基因被称为驱动基因,当驱动基因突变后,会把癌细胞“驱动”起来。而基因检测的目的就是检测肺癌的驱动基因是否存在突变,以及具体的突变位点。
甲醛固定、石蜡包埋肿瘤组织标本:优先使用,主要包括手术标本和支气管镜、胸腔镜等活检中获取标本;
细胞标本:来源于胸水、细针穿刺、肺泡灌洗液等;
血液标本:用于不能获得组织或细胞标本的晚期肺癌患者。
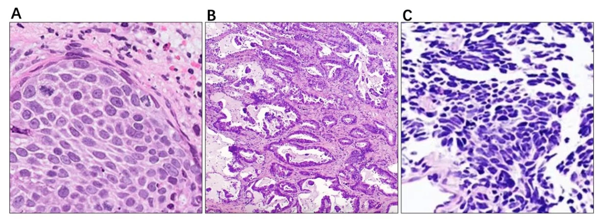
2021版WHO肺肿瘤组织学分型,将肺癌分为鳞状细胞癌、腺癌、腺鳞癌、神经内分泌肿瘤(小细胞肺癌、大细胞神经内分泌癌等)、大细胞癌等。其中鳞状细胞癌、腺癌、腺鳞癌归为非小细胞肺癌,是肺癌里最常见的组织分型。虽然都归为非小细胞肺癌,但其实由于起源细胞不同,它们长的并不相像(图1),后续的处理也不尽相同。那么,为什么要介绍这些专业又拗口的分型呢?因为基因检测是否可行,需要关注组织学分型,并非所有分型的肺癌,都推荐进行基因检测。

图1 不同肺癌的组织学形态
(A:鳞状细胞癌;B:腺癌;C:小细胞肺癌)
根据《中华医学会肺癌临床诊疗指南(2023版)》,基因检测的基本原则包括:
含腺癌成分的非小细胞肺癌:无论其临床特征,应常规行EGFR、ALK重排、ROS1重排、BRAF V600突变、RET重排、MET14外显子跳跃突变、NTRK1/2/3重排的分子生物学检测;IB~III期术后患者手术病理标本需常规行EGFR突变检测;
非小细胞肺癌推荐必检基因:EGFR、ALK、ROS1、RET、BRAFV600和MET14外显子跳跃突变、KRAS、NTRK;
耐药后基因检测;
肿瘤免疫治疗患者的筛选。
从指南可以看出,目前推荐行基因检测的肺癌,集中在非小细胞肺癌,而非其它的分型。
基因检测是肿瘤精准个体化治疗的关键步骤,肺癌治疗过程中,除传统化疗外,还可以根据基因突变不同位点,使用对应的靶向药物治疗以提高患者生存期。目前晚期非小细胞肺癌常见敏感突变基因如EGFR突变、ALK融合和少见靶点如MET外显子14跳变、RET融合、ROS1融合、NTRK融合等都有相应药物相继获批,使得医生和患者有了更多的选择。
曾经有焦急的亲属在等待基因检测报告期间,询问是否可以先自行服用某种靶向药?通过上述对基因检测的介绍,不是所有患者都适合使用靶向药物,用药前需要先进行肺癌基因检测,根据是否存在突变以及突变位点来指导用药。因此,即使心急也不能乱投医,仍需耐心等待基因检测结果来选择合适的靶向药物。