近日,罗氏诊断VENTANA FOLR1(FOLR1-2.1)抗体检测试剂(免疫组织化学法)正式获得国家药品监督管理局(NMPA)批准,该检测试剂能够辅助识别可接受ELAHERE(索米妥昔单抗)治疗的上皮性卵巢癌、输卵管癌或原发性腹膜癌患者。索米妥昔单抗注射液(商品名:ELAHERE®/爱拉赫®)已于去年11月22日正式在华获批上市,随着VENTANA FOLR1抗体检测试剂正式在华获批,其成为目前全球首个也是唯一一个获得FDA、CE及NMPA批准的索米妥昔单抗伴随诊断试剂。
在此次正式获批前,VENTANA FOLR1抗体检测试剂已相继获得海南省药监局及广东省药监局批准,率先落地博鳌先行区及大湾区,首次开创“药械双同步,加速进中国”的新路径。历时仅一年半,VENTANA FOLR1抗体检测试剂实现了从先行区落地到全国获批,成为国际创新药械依托“先行先试”政策加速上市的成功典范,让复发性铂耐药卵巢癌(PROC)患者更快地享受到了国际领先的精准诊疗成果,实现了中国患者与全球的同步获益。
作为女性生殖系统中最常见的恶性肿瘤之一,近年来,“妇癌之王”卵巢癌的发病率呈现上升趋势。国家癌症中心数据显示,2022年我国卵巢癌发病人数达6.11万,死亡人数3.26万1。虽然大部分卵巢癌患者在接受手术和铂类药物化疗后病情可得到缓解,但有约70%的患者会在初次治疗后的两三年内复发,且随着复发次数的增加,铂类药物化疗的有效性逐渐降低,最终导致对铂类药物产生耐药。

研究发现,约40%的铂耐药患者具有叶酸受体1蛋白(FOLR1)高表达(≥75%,2+/3+)2。FOLR1又称叶酸受体α(FRα),作为一种肿瘤细胞特异性高表达的抗原蛋白,成为了PROC诊疗的潜在有效靶点。2022年,FDA批准了全球首个针对FRα阳性卵巢癌的抗体偶联药物索米妥昔单抗,铂耐药卵巢癌患者迎来了新的治疗希望。去年11月22日,索米妥昔单抗注射液(商品名:ELAHERE®/爱拉赫®)正式获得国家药监局批准。
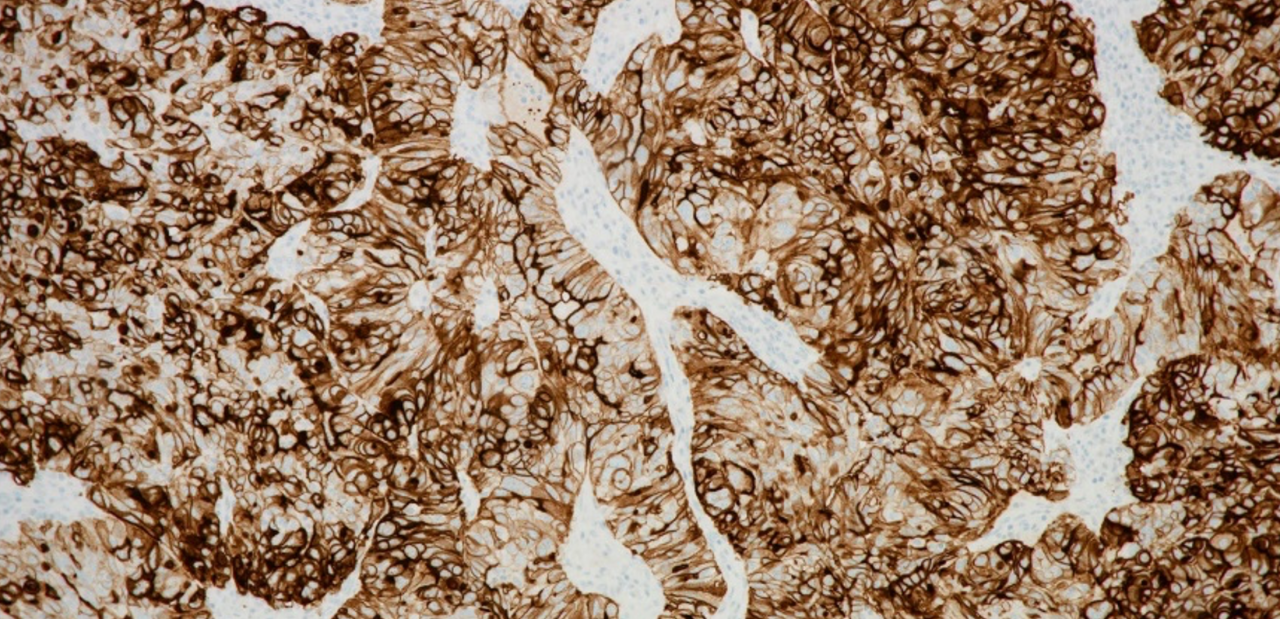
精准医疗、诊断先行。精准的伴随诊断是实现肿瘤患者个体化精准诊疗的先决条件,堪称靶向治疗最理想的“助攻”。此次获批的罗氏诊断VENTANA FOLR1抗体检测试剂,可通过染色强度水平为2+和3+的膜染色的肿瘤细胞百分比(% TC)确定FOLR1表达,辅助临床医生精确识别出适合接受索米妥昔单抗治疗的上皮性卵巢癌、输卵管癌或原发性腹膜癌患者。该检测可在罗氏诊断BenchMark 全自动免疫组化染色系统上实现全自动化运行,其经过规范化、标准化的临床验证,具有稳定性高、易判读等优势,可直接指导临床用药。
姚国樑 罗氏诊断中国总经理
“VENTANA FOLR1的正式获批,是罗氏诊断践行‘在中国,为中国’长期承诺的又一重要里程碑。FOLR1抗体检测试剂与药品的联合落地,不仅为我国PROC患者带来了诊疗的新选择与治愈的新希望,也为创新药械的加速获批上市探索出了一条潜在的新路径。未来,罗氏诊断将继续加快提升创新诊断产品在中国的可及性,让中国患者能够全球同步享受到国际前沿诊疗方案,为‘健康中国’建设持续贡献力量。”
文章为麦瑞科林原创,如需转载,请注明文章链接和出处。